



Частная стоматологическая клиника на кв. Ленинского Комсомола
Работаем в Луганске по будням с 9:00 до 18:00 по предварительной записи. Подарим вам улыбку, о которой вы мечтаете.




Работаем в Луганске по будням с 9:00 до 18:00 по предварительной записи. Подарим вам улыбку, о которой вы мечтаете.
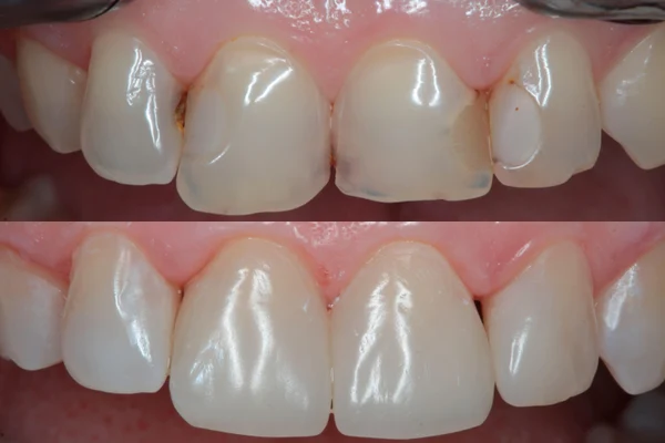
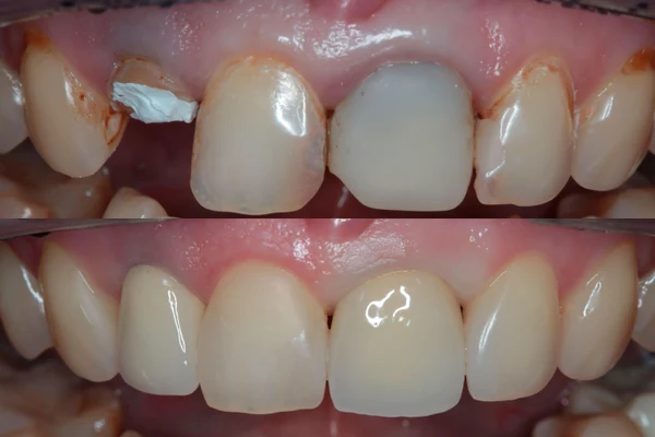
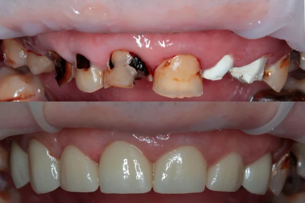
Примеры наших реальных клинических случаев: от восстановления улыбки до комплексного лечения зубов. Каждая работа — это история, в которой мы помогли вернуть уверенность в себе и подарили возможность улыбаться без стеснения. Мы используем современные методы и технологии, поэтому результат виден не только сразу, но и сохраняется на долгие годы. Наши специалисты уделяют внимание как эстетике, так и функциональности, добиваясь идеального баланса.






«В восторге от персонала! Все очень вежливые, доброжелательные. В этой поликлинике 8 лет назад лечила зубы и делала протезирование. Огромную благодарность хочу выразить врачу-ортопеду Кмить Ярославу Михайловичу за его работу и душевное отношение к пациентам. Очень довольна его работой. Вновь обратилась за консультацией, получила рекомендации. Рекомендую. Благодарю.»
+7 959 10XXXXX
Приём был в феврале 2026«Я обратилась первый раз к Виктории Сергеевне. На приёме у Виктории спокойная, доброжелательная обстановка. Всё проходит безболезненно. Врач на протяжении всего лечения интересуется моим состоянием. Врач - настоящий профессионал! Внимательная, объясняет каждый шаг лечения. Очень тактичная и аккуратная.»
+7 959 20XXXXX
Приём был в феврале 2026«Решила сходить в ближайшую стоматологию на профилактический осмотр, так как давно не ходила. Попала к Виктории Сергеевне и ни капли не пожалела, обнаружилось пару кариесов и небольшие зубные отложения. Виктория Сергеевна подробно рассказала и объяснила о моем состоянии зубов и что будем делать дальше. Меня записали на чистку и лечение, и уже вылечили один зуб, буду лечить и следующие. Врача данной клиники однозначно рекомендую!»
+7 959 28XXXXX
Приём был в марте 2026«Обратилась с зубной болью. Впервые попала на приём к Виктории Сергеевне. После внимательного осмотра и рентгеновского снимка она оказала мне квалифицированную помощь. Во время приёма врач была очень внимательна, аккуратна и вежлива. Качеством лечения осталась очень довольна. Впечатления о приёме самые тёплые. Буду обращаться к Виктории Сергеевне в случае необходимости и всем рекомендую.»
+7 959 13XXXXX
Приём был в марте 2026


До нашей стоматологии можно проехать на маршрутном такси № 155, 167, 118, 119, 133, 134, 141, 137а до остановки «Квартал Героев Сталинграда». Вход в клинику расположен с торца жилого дома, за зданием «Тропикана».